
Dark Gum Depigmentation Before & After Photo – William P. Lamas, DMD – Periodontics & Dental Implants.

Dark Gum Depigmentation Before & After Photo – William P. Lamas, DMD – Periodontics & Dental Implants.
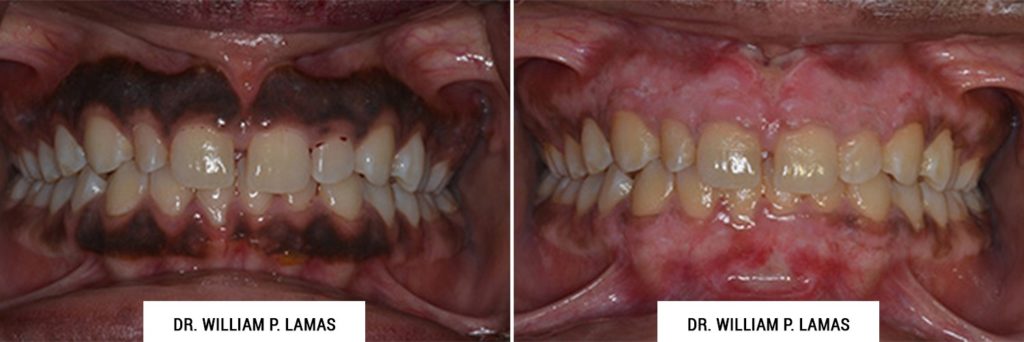
Tanya has full lips and an overall beautiful smile. She wanted to enhance her look by removing the pigmentation on her gums. She is very pleased with the results and now comes to our office for her hygiene visits.
For more, visit our Laser Gum Depigmentation (Laser Gum Bleaching) page or call us at (305) 440-4114.
📱 @lamasdental⠀⠀⠀⠀⠀
👨⚕️ Dr. William P. Lamas
🏥 Periodontics & Dental Implants
☎️ (305) 440-4114⠀⠀
🖥 lamasdental.com
📍 Miami, FL

Dark Gum Depigmentation Before & After Photo
Tanya came to our office after finding us online. She had a goal to improve the overall look of her smile. She had her teeth straighten, whiting and finally decided that the only thing missing was to get rid of the darkness of her gums.
Since you don’t see much of the bottom gums at all she decided to just do the top. Now she is very happy with the way it all looks.
View Photos