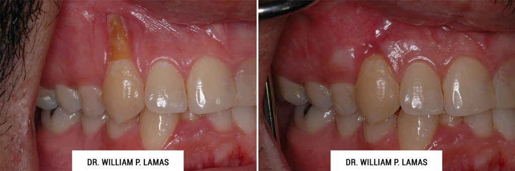
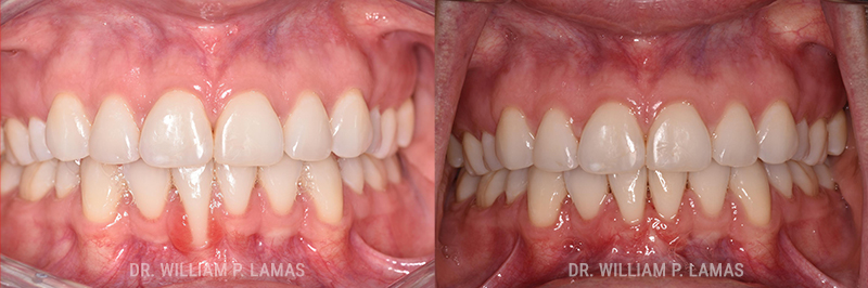
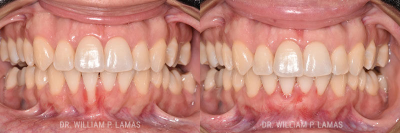
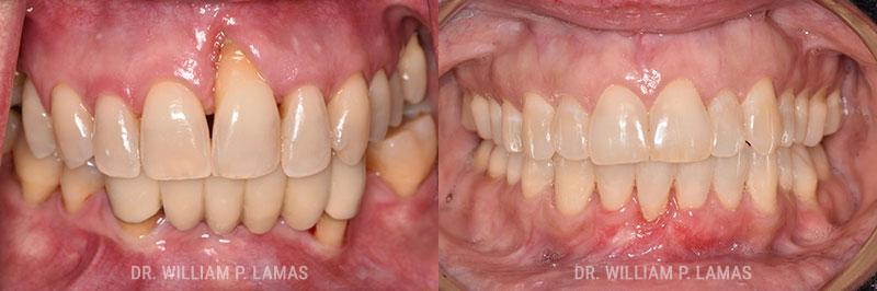
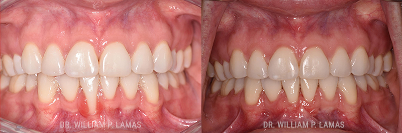
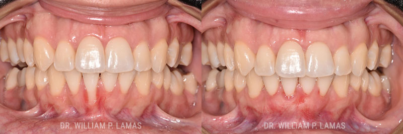
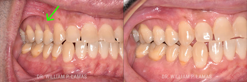
Gum Recession Treatment (Gum Grafting) Before & After – Case 1

Gum Grafting Treatment Before & After Photo – William P. Lamas, DMD – Periodontics & Dental Implants.
Orlando came to after finding us online. He presented with a severe case of recession ( exposure of tooth root) on the upper right canine. He was extremely fearful of the dentist and let it go for too long. He had visited with another specialist before that was recommending to remove the tooth but he was not ready to lose the tooth. Utilizing very specific periodontal plastic surgery techniques, under IV Sedation Dr. Lamas was able to save his tooth and greatly improve the quality of his gum tissue. He was very happy to be able to keep his tooth and feels a bit more at ease in the dental chair.
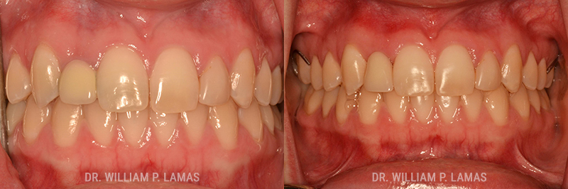
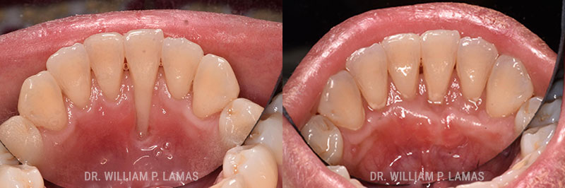
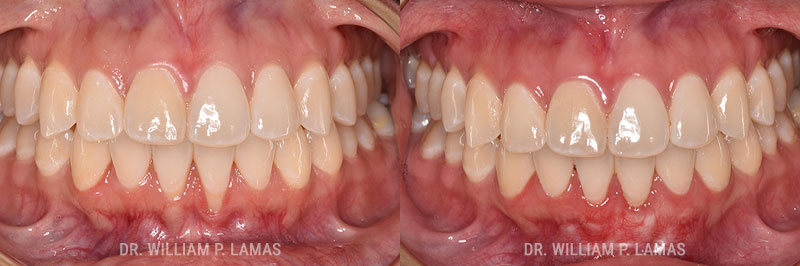
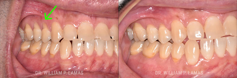
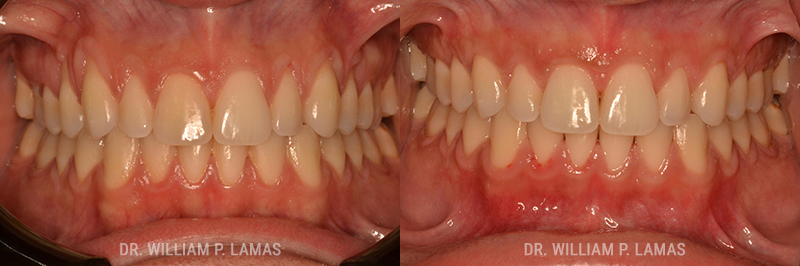
Gum Recession Treatment (Gum Grafting) Before & After – Case 2

Gum Grafting Treatment Before & After Photo – William P. Lamas, DMD – Periodontics & Dental Implants.
Peter came to us referred by his Orthodontist for a consultation for recession of one of his lower teeth. The area was extremely sensitive to hot and cold and it became difficult to bite into anything. After just one treatment with tissue graft , Dr. Lamas was able to cover the exposed root of his lower tooth and also improve another tooth on the lower left to prevent further exposure. Now Peter is able to eat his favorite flavor ice cream.
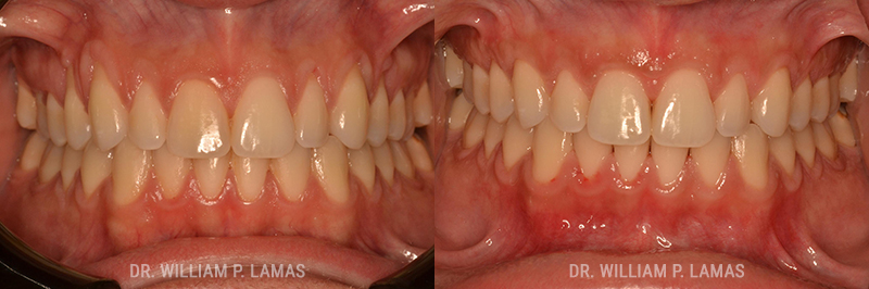
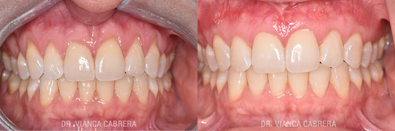
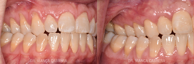
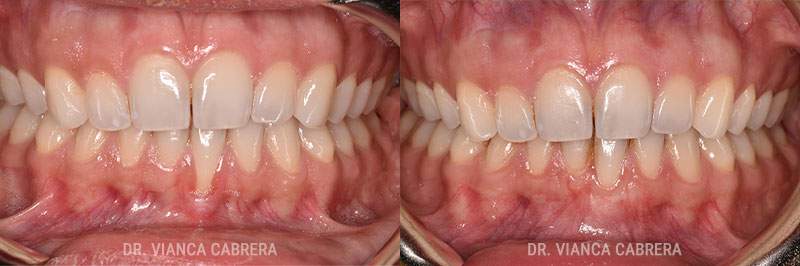
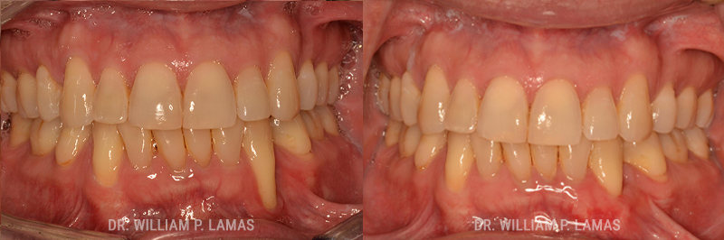
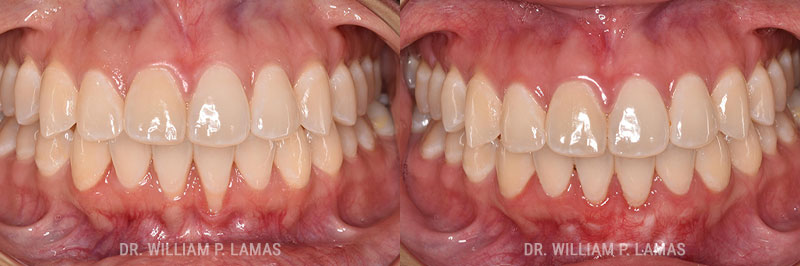
Gum Recession Treatment (Gum Grafting) Before & After – Case 3

Gum Grafting Treatment Before & After Photo – William P. Lamas, DMD – Periodontics & Dental Implants.
Dina is a middle age woman that was referred to us by her general dentist. She had naturally thin gums and they were gradually receding . She did not have any symptoms but realized the fact that she could not keep her teeth long term with this condition. Her parents had lost teeth because of this condition. After one treatment of tissue grafting Dr. Lamas covered the roots and greatly improved her gum tissue . This procedure will allow for her to keep her teeth years to come.
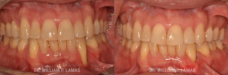
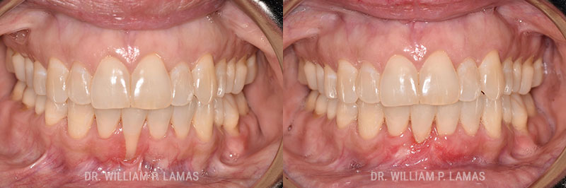
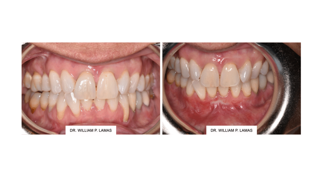
Gum Recession Treatment (Gum Grafting) Before & After – Case 4

Gum Grafting Treatment Before & After Photo – William P. Lamas, DMD – Periodontics & Dental Implants.
Maria is a middle age woman with history of aggressive brushing with a hard bristle toothbrush. Over the years her teeth started to recede and therefore exposing the roots of her teeth. Root exposure is a recipe for disaster because your teeth can become weak loose and eventually fall. Loosing teeth is not an aging process it is actually due to common issues like Maria’s. Now she’s learned the correct technique to brush and floss and she should keep her teeth for a lifetime.
Gum Recession Treatment (Gum Grafting) Before & After – Case 5

Gum Grafting Treatment Before & After Photo – William P. Lamas, DMD – Periodontics & Dental Implants

Gum Grafting Treatment Before & After Photo – William P. Lamas, DMD – Periodontics & Dental Implants
This patient was presented to us with missing tooth #7 (upper right lateral) from birth. She was not a good candidate for an implant because the adjacent roots were too close together making the space too small for an implant.
Her general dentist did a bridge and she wanted the gum tissue improved for aesthetic reasons. If you look at the before picture you can see the lack of thick tissue which makes the crown of the tooth look smaller and the smile look uneven.
Gum Recession Treatment (Gum Grafting) Before & After – Case 6

Gum Grafting Treatment Before & After Photo – William P. Lamas, DMD – Periodontics & Dental Implants
This 51-year-old patient was interested in starting Invisalign Treatment in order to correct the position of his teeth and thus improving his smile. However, with a history of gum disease and generalized recession, Gum Grafting Treatment was recommended as phase 1 to improve not only the aesthetic of his smile but also the health of the gum tissues surrounding his teeth. Dr. Lamas was able to achieve these results in one appointment utilizing special techniques and placing Alloderm on the areas where the roots were exposed. With other technologies such as L-PRF and IV Sedation the patient healed nicely and is happy to move forward with Invisalign Treatment and execute his plan to gain his best smile ever!
Gum Recession Treatment (Gum Grafting) Before & After – Case 7

Gum Grafting Treatment Before & After Photo – William P. Lamas, DMD – Periodontics & Dental Implants

Gum Grafting Treatment Before & After Photo – William P. Lamas, DMD – Periodontics & Dental Implants
Osvaldo came to us referred by his father who is a patient of our office. He is a young man presented with recession on some of the upper teeth. Dr. Lamas recommended tissue grafting utilizing periodontal plastic surgery techniques and a grafting products to avoid using tissue from the roof of his mouth. Now he has full coverage of the roots of his teeth and doesn’t have to worry about loosing any teeth.
Gum Recession Treatment (Gum Grafting) Before & After – Case 8

Gum Grafting Treatment Before & After Photo – William P. Lamas, DMD – Periodontics & Dental Implants

Gum Grafting Treatment Before & After Photo – William P. Lamas, DMD – Periodontics & Dental Implants
Norma is a 70 year old woman that found us online . She has had several dental work done but the gum recession had not ever addressed. She was very worried to loose her teeth because he did not want to end up in dentures like her parents did. Gum Recession Treatment was able to correct most of the exposed root thus giving her teeth a much longer life spam.
Gum Recession Treatment (Gum Grafting) Before & After – Case 9

Gum Grafting Treatment Before & After Photo – William P. Lamas, DMD – Periodontics & Dental Implants
Recession can lead to tooth loss! This young woman was referred to Dr. Lamas for an evaluation of her gums. She presented with Generalized Recession and severe sensitivity to hot and cold. In one surgical procedure, Dr. Lamas was able to achieve full coverage of the exposed root structure. This after picture was taken less than 8 weeks after the procedure.
Gum Recession Treatment (Gum Grafting) Before & After – Case 10

Gum Grafting Treatment Before & After Photo – William P. Lamas, DMD – Periodontics & Dental Implants
Alexis came to us referred by his dentist who had told him for years to see a Periodontist to address the gum recession. He ignored it for a while but finally decided to come see us. Dr. Lamas performed a Connective Tissue Graft and was able to save his tooth.
Gum Recession Treatment (Gum Grafting) Before & After – Case 11

Gum Grafting Treatment Before & After Photo – William P. Lamas, DMD – Periodontics & Dental Implants
This young female came to us with recession only this lower anterior tooth. Dr. Lamas corrected with Connective Tissue Grafts techniques.
Gum Recession Treatment (Gum Grafting) Before & After – Case 12

Gum Grafting Treatment Before & After Photo – William P. Lamas, DMD – Periodontics & Dental Implants
This is a great Before and after of a recession repair on the lingual ( the tongue side) of a lower anterior tooth. Dr. Lamas was able to achieve great results for this very difficult area to repair.
Gum Recession Treatment (Gum Grafting) Before & After – Case 13

Gum Grafting Treatment Before & After Photo – William P. Lamas, DMD – Periodontics & Dental Implants
This young lady with severe recession on tooth # 22 was afraid to loose her tooth . Dr. Lamas was able to achieve 100% coverage of the root structure and thicken the gum tissue in order to maintain the tooth in place. With proper care and good hygiene the results can last forever.
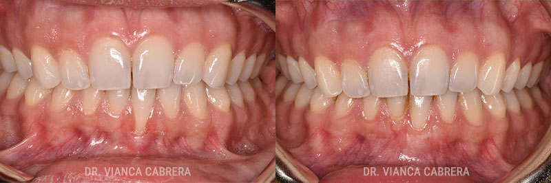
Gum Recession Treatment (Gum Grafting) Before & After – Case 14

Gum Grafting Treatment Before & After Photo – Dr. Vianca Cabrera
Laura came to our office referred by a family friend. She had been developing recession on several areas of the top and bottom teeth. She complained of food getting impaction the areas where the roots were exposed. Because of her busy schedule she decided to do the top and later do the bottom. Utilizing Periodontal Plastic Surgery techniques Dr. Cabrera was able to cover the roots that were exposed and give her better tissue quality. We hope to see her soon for the bottom.
Gum Recession Treatment (Gum Grafting) Before & After – Case 15

Gum Grafting Treatment Before & After Photo – Dr. Vianca Cabrera
Ford came in for a consultation complaining about loss of gum from heavy brushing over the years. Dr. Cabrera performed periodontal plastic surgery on the upper right side and achieved root coverage as well as tissue thickening. The patient was so happy that he decided to move forward with surgery in other areas of his mouth.
Gum Recession Treatment (Gum Grafting) Before & After – Case 16

Gum Grafting Treatment Before & After Photo – William P. Lamas, DMD – Periodontics & Dental Implants
Val is a young woman in her 30s. She was referred to us from her General Dentist because she had severe recession on the lower tooth. Dr. Lamas was able to cover the exposed root and achieve thickness of the tissue. She is very happy with the results and worry-free about the possibility of loosing the tooth.
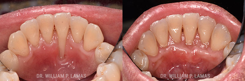
Gum Recession Treatment (Gum Grafting) Before & After – Case 17

Gum Grafting Treatment Before & After Photo – William P. Lamas, DMD – Periodontics & Dental Implants
Ms. L came to us referred by her general dentist for recession of the lower front teeth #24 and # 25. With a simple grafting procedure, Dr. Lamas was able correct this defect and cover the exposed roots.
Exposed roots is not healthy and needs to be corrected. Roots are very susceptible to cavities and eventually can cause tooth decay and therefore tooth loss.
Gum Recession Treatment (Gum Grafting) Before & After – Case 18

Gum Grafting Treatment Before & After Photo – Dr. Vianca Cabrera
Lorraine is a young woman that was referred to us from her General Dentist. She had extreme sensitivity coming from the lower anterior tooth area. Dr. Cabrera recommended a Connective Tissue Graft procedure to cover the exposed root and a frenectomy to prevent further future pull of the gum tissue cause recession again. This procedure was done in one appointment using sedatives and local anesthesia. The prognosis is very favorable and she is very happy with the results.
Gum Recession Treatment (Gum Grafting) Before & After – Case 19

Gum Grafting Treatment Before & After Photo – William P. Lamas, DMD – Periodontics & Dental Implants
Mercy is a young woman that developed some recession of one of her bottom teeth. She put it off for a while due to fear of the dentist. Eventually the severe recession caused her sensitivity and she felt limited to what she can eat because she felt that her tooth was going to fall out.
Utilizing Periodontal Plastic Surgery techniques , Dr. Lamas was able to accomplish full coverage of the exposed root of her tooth in one procedure. This procedure prevented the loss her natural tooth and any further surgeries.
Gum Recession Treatment (Gum Grafting) Before & After – Case 20

Gum Grafting Treatment Before & After Photo – William P. Lamas, DMD – Periodontics & Dental Implants
May has been a patient of our office for many years. She has been dealing with a lot of dental issues for years due to Periodontal Disease.
She has extensive gingival recession and severely exposed root of the front tooth. She was very scared to lose her tooth and finally decided to do something. Dr. Lamas performed a Connective Tissue Graft procedure to improve the tissues surrounding the effected tooth thus saving the tooth. She is now stable.
Gum Recession Treatment (Gum Grafting) Before & After – Case 21

Gum Grafting Treatment Before & After Photo – William P. Lamas, DMD – Periodontics & Dental Implants
Ms. N came to Lamas Dental Specialists referred by a friend. She was verry worried about loosing her tooth because the root had become extremely exposed and it was very sensitive. The roots of your teeth should never be visible/exposed. They need to be covered by bone and gum tissue in order to remain protected. Dr. Cabrera was able to achieve full coverage of the root making the tooth healthy again.
Gum Recession Treatment (Gum Grafting) Before & After – Case 22

Gum Grafting Treatment Before & After Photo – William P. Lamas, DMD – Periodontics & Dental Implants

Gum Grafting Treatment Before & After Photo – William P. Lamas, DMD – Periodontics & Dental Implants
Mr. M came to our office referred from his dentist. He was interested in having Orthodontic Treatment ( braces ) to correct his smile. However such treatment to move teeth to desired position should not be done with unhealthy gums. Having recession ( root exposed ) is not a healthy situation in any case but particularly having braces will make the recession worse. Dr. Lamas treated the areas with Alloderm utilizing plastic surgery principals and covered the root making them healthy again.
Gum Recession Treatment (Gum Grafting) Before & After – Case 23
A patient was referred to our practice by his general dentist due to significant gum recession on a front tooth. The exposed root not only affected the appearance of his smile but also put him at risk for sensitivity, decay, and long-term structural damage.
Dr. Lamas performed a minimally invasive gum-grafting procedure designed to restore healthy tissue and fully cover the exposed root. The treatment successfully rebuilt the gumline, improved tooth stability, and protected the root from future erosion.
Before & After Photo – William P. Lamas, DMD – Periodontics & Dental Implants
If gum recession is left untreated, exposed roots can become increasingly sensitive, more prone to cavities, and vulnerable to ongoing tissue and bone loss. In advanced cases, this may result in loose teeth or eventual tooth loss. Early intervention, like the procedure performed here, helps preserve both oral health and aesthetics.
Gum Recession Treatment (Gum Grafting) Before & After – Case 24
This young man came to our practice with noticeable gum recession affecting several teeth, most prominently tooth 24. Although Dr. Lamas recommended treating all areas of recession to prevent future complications, the patient chose to begin with the tooth showing the most concern.
Before & After Photo – William P. Lamas, DMD – Periodontics & Dental Implants
Using a precise, minimally invasive grafting technique, Dr. Lamas successfully restored healthy gum tissue and fully protected the exposed root of tooth 24. This helps prevent further recession, sensitivity, decay, and potential mobility.
Addressing gum recession early, even on a single tooth, can make a significant difference in long-term oral health. Targeted treatment helps preserve tooth stability, maintain healthy bone support, and reduce the risk of future gum loss or tooth loss.
Gum Recession Treatment (Gum Grafting) Before & After – Case 25
This patient came to our practice with gum recession affecting both the upper and lower arches. She chose to begin treatment on the upper arch, with plans to address the lower arch in the future.
Before & After Photo – William P. Lamas, DMD – Periodontics & Dental Implants
By restoring the gums on the upper teeth, Dr. Cabrera protected the exposed roots, improved tooth stability, and reduced the risk of future recession and tooth loss. This treatment strengthens the foundation of her smile and supports long-term oral health.
Gum Recession Treatment (Gum Grafting) Before & After – Case 26
This patient came to us with gum recession, a condition in which the gums pull away from the teeth and expose the roots. Although it may appear to be a cosmetic issue, treating gum recession is medically necessary to prevent root sensitivity, decay, bone loss, and long-term tooth mobility.
Before & After Photo – William P. Lamas, DMD – Periodontics & Dental Implants
Using advanced microsurgical techniques, Dr. Lamas restored healthy gum coverage and rebuilt the protective tissue around the affected teeth. This treatment helps preserve the patient’s oral health, prevent further recession, and maintain long-term comfort and confidence.



